Продолжая использовать наш сайт, вы даете согласие на обработку следующих персональных данных:

URL страницы; реферер страницы; заголовок страницы; браузер и его версия; операционная система и ее версия; устройство; высота и ширина экрана; версия Flash; наличие Cookies; файлы Cookies; 
в целях: общения с субъектом c использованием телефонной связи и других видов связи; идентификации субъекта; идентификации устройства субъекта; обеспечения функционирования сайта.

Если вы не хотите, чтобы ваши данные обрабатывались, покиньте сайт!

 
ГлавнаяКонтактыКарта сайтаВЕРСИЯ САЙТА ДЛЯ СЛАБОВИДЯЩИХEnglishChineseВКонтактеОдноклассникиTelegramMAX
 
             
   

Протезирование с опорой на имплантах

11 ноября 2010 - четверг

Протезирование с опорой на имплантах в боковом отделе

Пациентка Н. 49 лет обратилась в СОСП с жалобами на отсутствие зубов с целью рационального протезирования. В ходе обследования было выявлено, что пациентка обращалась к стоматологу только для удаления зубов (практически все жевательные зубы на верхней и нижней челюсти были удалены).

Вследствие того, что жевательные зубы были удалены, передние зубы на верхней и нижней челюсти находились в состоянии перегрузки, произошло снижение высоты прикуса. При рентгенологическом обследовании пациентки выявлена значительная атрофия костной ткани на верхней челюсти, умеренная атрофия кости на нижней челюсти.

Пациентке были предложены: установка имплантатов на нижней челюсти с последующим протезированием на них металлокерамическими коронками и бюгельный протез с фиксацией аттачментами на верхнюю челюсть.

В соответствии с выбранной конструкцией протезов был составлен комплексный план лечения, который включил в себя: депульпирование опорных зубов 13, 12, 22, 23, 25, 33, 44, 45, с последующим восстановлением их литыми культевыми штифтовыми вкладками и изготовлением на них металлокерамических коронок и мостовидного протеза. После восстановления высоты прикуса на коронках планируется изготовление бюгельного протеза на верхнюю челюсть и имплантирование на нижней челюсти с протезированием металлокерамическими коронками.

После обсуждения плана лечения и получения информируемого согласия пациентки, ей были установлены имплантаты на нижнюю челюсть: два справа, три слева.

имплантант  имплантат

За время остеоинтеграции (приживления имплантатов) было выполнено протезирование верхней челюсти. Через четыре месяца после операции имплантации было проведено протезирование металлокерамическими коронками с опорой на импланты на нижней челюсти. Результат протезирования удовлетворил пожелания пациентки.

имплантант  имплантат

Были даны рекомендации по уходу за протезами. Пациентка взята на диспансерное наблюдение.

Врач Деусов В.А.

Протезирование с опорой на имплантатах в переднем отделе

В ортопедическое отделение Свердловской областной стоматологической поликлиники обратилась пациентка 1989 года рождения с жалобами на отсутствие зуба на верхней челюсти в переднем отделе. Зуб был удален вследствие осложненного кариеса около 1 года назад.

Пациентка пользовалась косметической съемной пластинкой, которая не устраивала ее в силу различных причин. После необходимых основных и дополнительных методов обследования пациентке были предложены следующие варианты лечения:

  • Изготовление мостовидного протеза с вовлечением двух интактных («здоровых») зубов;
  • Установка имплантата в область отсутствующего зуба и на имплантат металлокерамическая коронка (без вовлечения в конструкцию своих зубов).

Первый вариант пациентка исключила, вследствие нежелания препарировать свои зубы.

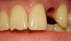
После получения информированного согласия, пациентке был установлен один имплантат на верхней челюсти в области отсутствующего зуба. Через 4 месяца (все это время пациентка пользовалась своим прежним cкорректированным съемным протезом), была изготовлена металлокерамическая коронка с опорой на имплантат. Результат лечения удовлетворил пациентку,ей были даны рекомендации по гигиеническому уходу за конструкцией и время контрольных осмотров.

После хирургического этапа

Рабочая модель с десневой маской

Окончательный вид в полости рта

 

Записаться на прием

 
Заявка на прием
Благодарности
Отзывы, жалобы и предложения
Как Вы о нас узнали?
Радио
Телевидение
Журналы / пресса
Знакомые / родственники
Интернет
Наружная реклама
Другое
 

Уже проголосовало человек: 10956