Продолжая использовать наш сайт, вы даете согласие на обработку следующих персональных данных:

URL страницы; реферер страницы; заголовок страницы; браузер и его версия; операционная система и ее версия; устройство; высота и ширина экрана; версия Flash; наличие Cookies; файлы Cookies; 
в целях: общения с субъектом c использованием телефонной связи и других видов связи; идентификации субъекта; идентификации устройства субъекта; обеспечения функционирования сайта.

Если вы не хотите, чтобы ваши данные обрабатывались, покиньте сайт!

 
ГлавнаяКонтактыКарта сайтаВЕРСИЯ САЙТА ДЛЯ СЛАБОВИДЯЩИХEnglishChineseВКонтактеОдноклассникиTelegramMAX
 
             
   

Протезирование в стоматологии

12 ноября 2010 - пятница

Отсутствие даже одного зуба вызывает существенные неудобства в жизни человека. Это может привести к смещению зубов, нарушению прикуса и к ряду других побочных заболеваний. Чтобы избежать таких неприятностей следует обратиться к специалисту по протезированию зубов.

Методы протезирования зубов

Сегодня существует множество разных методик протезирования зубов. Выбрать оптимальный вариант протезирования пациенту поможет специалист стоматолог, который расскажет не только, о всех видах протезирования зубов, но и об их плюсах и минусах. Давайте теперь разберемся, какие методики протезирования зубов существуют.

В стоматологии различают съемное протезирование и несъемное протезирование зубов. Соответственно, зубные протезы могут устанавливаться единожды для постоянного ношения, а могут и выниматься из полости рта.

К несъемным видам протезирования относится: установка коронок или мостовидных протезов, установка вкладок, виниров, а также имплантация зубов. Примерами съемного протезирования служат пластинчатые, бюгельные и другие виды протезов. 

Несъемное протезирование зубов

Коронки

Это один из самых распространенных способов протезирования зубов в стоматологии. Коронка позволяет восстановить поврежденный зуб, защитить ослабленный или отколотый зуб от дальнейшего разрушения, когда этого нельзя достигнуть с помощью пломбирования, исправить неправильную форму и нарушенную окраску зуба, стать опорой для мостовидного протеза.

Коронки изготавливают из металлов и их сплавов (в том числе из стали и золота), фарфора, комбинаций акриловых и композитных полимеров (цельнокерамическая коронка, металлическая коронка, металлокерамическая коронка).

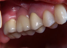
Самым распространенными являются металлокерамические коронки. Эти коронки представляют собой прочнейший металлический каркас, покрытый тончайшим слоем керамической пасты. Такая зубная коронка по виду совершенно неотличима от окружающих здоровых зубов, а по прочности даже превышает их.

 

Металлокерамические коронки Металлокерамические коронки
Металлокерамические коронки

        

Керамические коронки отличаются очень высокими эстетическими параметрами, но они очень хрупки, по сравнению с металлокерамическими, и имеют довольно широкий ряд противопоказаний.

 

Керамические коронки  Керамические коронки
Керамические коронки

 

Коронки с использованием пластмассы при протезировании в стоматологии практически не используются, так как пластмасса довольно не прочный материал и со временем он начинает темнеть.

Установка коронки - достаточно надежное протезирование зубов. Правильно установленная коронка при грамотном уходе за полостью может прослужить до 20 лет.

Мостовидные протезы

Мостовидный протез  - это несъемная ортопедическая конструкция, напоминающая мост, который крепится на зубах при помощи коронок. Он может изготавливаться из тех же материалов и по тем же технологиям, как и коронки. Отличительной особенностью данного метода протезирования зубов является наличие промежуточной части в виде искусственных зубов. Он применяется для замены одного или нескольких отсутствующих зубов. Установка мостовидного протеза возможна лишь в том случае, если справа или слева по обе стороны отсутствующего зуба еще имеются зубы, на которые он может быть закреплен. Эти опорные зубы обтачиваются, и на них устанавливаются коронки, за которые потом крепится сам протез.

 

Вкладки и накладки

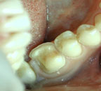
Зубные вкладки и накладки - это зубные протезы, использующиеся для лечения зубов сильно пораженных кариесом. Вкладки являются альтернативой коронкам. Если зуб сильно разрушен, то вместо коронки возможно установить зубную вкладку, которая по сути представляет собой пломбу, сделанную в зуботехнической лаборатории с большой точностью. Вкладки изготавливаются из сплавов металлов, фарфора, из композитных материалов.

Установка вкладки После установки вкладки
Установка вкладки   После установки

 

Имплантация

Имплантация - это вживление специального титанового конструкции в костную ткань пациента. В дальнейшим на эту конструкцию фиксируется металлокерамическая коронка, и сделанный зуб совсем не отличается от настоящего. Это новейшая технология в области протезирования зубов.
 

Съемное протезирование зубов

Съемное протезирование зубов широко применяется в случаях полной или частичной утраты зубов. Современные технологии изготовления съемных протезов позволяют гарантировать их высокую прочность, надежность, эстетическую привлекательность и отсутствие необходимости постоянного удаления из полости рта.
В зависимости от того, какую проблему нужно решить, используются следующие виды протезов:

  • полные съемные пластинчатые протезы применяются при полном отсутствии зубов на одной или обеих челюстях. Их задача - восполнить отсутствие всех зубов. 
  • частичные съемные протезы применяются при отсутствии единичных зубов или группы зубов в зубном ряду. Данный вид протезов используется при потере основных жевательных зубов и при дефектах зубных рядов большой протяженности. 
  • бюгельный протез - наиболее надежная, дорогая и удобная конструкция. Её основным отличием является то, что жевательная нагрузка распределяется равномерно между десневой поверхностью челюсти и сохранившимися зубами, в отличие от частичных протезов, где вся нагрузка приходится на десну. При изготовлении таких протезов производится точный расчет и моделирование всех элементов протеза.
Пример съёмного протеза зубов
Пример съемного протеза зубов

 

Технологии съемного протезирования зубов в стоматологии за последнее время сильно развиваются, что и дало свои результаты. Теперь уже съемное протезирование зубов предлагает эстетичные, функциональные съемные протезы.

По материалам: implant.ru

 

Записаться на прием

 
Заявка на прием
Благодарности
Отзывы, жалобы и предложения
Как Вы о нас узнали?
Радио
Телевидение
Журналы / пресса
Знакомые / родственники
Интернет
Наружная реклама
Другое
 

Уже проголосовало человек: 10956