Продолжая использовать наш сайт, вы даете согласие на обработку следующих персональных данных:

URL страницы; реферер страницы; заголовок страницы; браузер и его версия; операционная система и ее версия; устройство; высота и ширина экрана; версия Flash; наличие Cookies; файлы Cookies; 
в целях: общения с субъектом c использованием телефонной связи и других видов связи; идентификации субъекта; идентификации устройства субъекта; обеспечения функционирования сайта.

Если вы не хотите, чтобы ваши данные обрабатывались, покиньте сайт!

 
ГлавнаяКонтактыКарта сайтаВЕРСИЯ САЙТА ДЛЯ СЛАБОВИДЯЩИХEnglishChineseВКонтактеОдноклассникиTelegramMAX
 
             
   

Неправильный прикус

21 июня 2011 - вторник

Откуда берётся неправильный прикус ?

кормление ребёнкаДля многих не секрет, что неправильный или патологический прикус может начать формироваться уже в младенчестве. Замечено, что патологический прикус чаще формируется у детей, находящихся на искусственном вскармливании. Это возникает потому, что у новорожденных детей нижняя челюсть всегда меньше, чем верхняя - такова анатомическая особенность строения лицевой части черепа в детском возрасте. Выравнивание размеров челюстей происходит на первом году жизни, чему способствует естественное вскармливание. При сосании материнской груди ребенок вынужден выдвигать нижнюю челюсть, т.е. лицевые мышцы работают, и положение вещей постепенно меняется. Если же ребенок сосет из бутылочки, в которой, как правило, на соске огромная дырка, из которой молоко вытекает само, то малыш вместо сосания вынужден быстро проглатывать молоко. В таком случае акт сосания не производится, нижняя челюсть не работает, и ее размеры продолжают отставать в размерах от верхней челюсти.

Когда отпадает необходимость сосать молоко и ребенку предлагают есть плотную, а затем твердую пищу, то делает он это неохотно и вяло. Из-за того, что ребенок предпочитает мягкую пищу твердой, жевательный аппарат работает не полностью, кости нижней и верхней челюстей развиваются недостаточно, а это может привести к появлению кривых зубов и их неправильному расположению. На формирование неправильного прикуса может влиять также вынужденное положение головки малыша во время сна или кормления. Например, весьма нежелательно запрокидывание головки.

Сужению или смещению нижней челюсти способствует и привычка спать в одной и той же позе - на спине, животе, боку, подкладывание руки под щеку, а также с низко опущенной на грудь головой.

Как правило, неправильный прикус и кривые зубы сочетаются с неправильной осанкой, когда голова расположена впереди вертикальной оси туловища. Немаловажную роль играют и сроки прорезывания зубов. Они могут быть нарушены из-за нехватки в организме жизненно важных минеральных веществ: кальция, фтора.

У детей, имеющих вредные привычки, кривые зубы и неправильный прикус встречаются еще чаще. Некоторые родители относятся снисходительно к тому, что их малыш сосет палец, а это неправильно. К вредным привычкам относится и длительное сосание соски, прикусывание губ. В этом случае зубы отодвигаются на толщину пальца или толщину предмета, который сосет ребенок, и в результате этого появляется заметная щель между зубами - диастема.

При аденоидных разрастаниях (аденоидах) и воспалительных заболеваниях полости носа у ребенка постоянно заложен нос и ему все время приходится дышать ртом. Длительное дыхание через рот приводит к нарушению роста лицевого черепа и к формированию неправильного прикуса, формируется характерный "аденоидный" тип лица. Случается, что аномалии развития челюстей дети наследуют от родителей.

Что же могут сделать родители, чтобы предотвратить формирование неправильного прикуса у ребенка?

Если грудное вскармливание ребенка по каким-либо причинам невозможно, то следует приобрести для малыша в аптеке специальную соску на бутылочку с небольшим отверстием, чтобы молочко не лилось ему в рот. Не следует также покупать длинную соску, т.к. она изменяет нормальное положение языка и вытягивает щеки.

Приступая к кормлению из бутылочки, положите ребенка так же, как при кормлении грудью. Не кладите ребенка в кроватку с запрокинутой головой.

Следите за тем, чтобы ребенок спал в разных позах, переворачивайте его то на животик, то на бочок, то на спинку. Подушечка под голову должна быть ровная и невысокая.

Привычку сосать палец необходимо искоренять, может быть следует пересмотреть режим кормления. Возможно, придется обратиться к невропатологу, чтобы исключить повышенную возбудимость. Отучать ребенка от соски-пустышки необходимо с девятимесячного возраста, чтобы предотвратить формирование неровных зубных радов. Когда появятся первые зубы, предлагайте ребенку понемногу твердую пищу, чтобы он привыкал работать челюстями. Пусть лучше возникнет усталость от жевания, чем слабость зубов и мышц в дальнейшем.

Лучше заранее не допустить развитие неправильного прикуса, чем потом его лечить. Хотя его можно исправить в любом возрасте, тем более, если он мешает жевательной функции зубов. При неправильном смыкании зубов или отсутствии контакта между ними пища плохо пережевывается и не перерабатывается должным образом. Это приводит к различным заболеваниям внутренних органов, и в первую очередь желудочно-кишечного тракта.

Виды неправильного прикуса

Неправильный прикус может быть нескольких видов, в зависимости от того, как расположены зубы, насколько развиты обе челюсти и от иных параметров. Основные виды неправильного прикуса следующие:

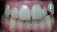
  • Дистальный прикус. Данный вид прикуса характеризуется чрезмерно развитой верхней челюстью, либо недоразвитой нижней. В таком случае визуально верхние зубы сильно выступают вперед, а нижняя челюсть западает.
  • Мезиальный прикус. Данному виду прикуса характерна чрезмерно выдвинутая вперед нижняя челюсть. В таком случае нижние зубы перекрывают верхние.
  • Глубокий прикус. При таком виде прикуса верхние передние зубы (резцы) перекрывают нижние резцы более, чем на половину их высоты.
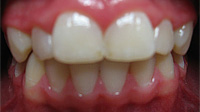
  • Открытый прикус. В данном случае большая часть зубов обеих челюстей не смыкаются, при сомкнутой челюсти могут наблюдаться разной величины расстояния между зубами верхней и нижней челюстей.
  • Перекрестный прикус. Данный вид неправильного прикуса характеризуется односторонним недоразвитием зубов верхнего или нижнего ряда.
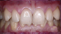
  • Дистопия. Дистопией называется явление, при котором зубы расположены не на своих местах во всем зубном ряду. Это может наблюдаться как в нижней или верхней челюстях, так и в обоих зубных рядах одновременно.
дистальный прикус мезиальный прикус глубокий прикус
дистальный прикус мезиальный прикус глубокий прикус
открытый прикус перекрестный прикус  
открытый прикус перекрестный прикус  

 

Способы исправления прикуса

Для исправления прикуса используются способы, подходящие в определенных случаях. Это могут быть:

  • Выполнение комплекса упражнений на мышцы лица, которые участвуют в формировании прикуса. Данный метод эффективен в раннем возрасте, пока челюсти не сформированы окончательно. Специально разработанный комплекс упражнений укрепляет мышцы и формирует правильное развитие челюстей у ребенка, что в будущем поможет исключить такие методы исправления, как протезирование зубов, брекеты или хирургическое вмешательство.
  • Ортодонтия исправление неправильного прикуса такими системами, как брекеты, пластины и прочие аппараты. Они подбираются индивидуально, в зависимости от тяжести заболевания и возраста пациента. Часто ортодонтия и ее методы эффективно помогают в вопросе исправления неправильного прикуса.
  • Протезирование зубов в тех случаях, когда не удается сохранить свои зубы для формирования правильного прикуса. В тех случаях, когда зубы растут не на своих местах в зубном ряду, а их коррекции недостаточно для формирования правильного прикуса, выполняется протезирование зубов.
  • Хирургическое вмешательство выполняется в тяжелых случаях неправильного прикуса (фронтальный или боковой открытый прикус, дисплазия подбородка), когда бессильна ортодонтия и иные методы исправления (брекеты, протезирование зубов и прочие). При этом исправляется форма челюстей и лицевых костей черепа с целью нормализации смыкания челюстей.

 

Что такое брекеты или брекет-системы?

 
Заявка на прием
Благодарности
Отзывы, жалобы и предложения
Как Вы о нас узнали?
Радио
Телевидение
Журналы / пресса
Знакомые / родственники
Интернет
Наружная реклама
Другое
 

Уже проголосовало человек: 10956