Продолжая использовать наш сайт, вы даете согласие на обработку следующих персональных данных:

URL страницы; реферер страницы; заголовок страницы; браузер и его версия; операционная система и ее версия; устройство; высота и ширина экрана; версия Flash; наличие Cookies; файлы Cookies; 
в целях: общения с субъектом c использованием телефонной связи и других видов связи; идентификации субъекта; идентификации устройства субъекта; обеспечения функционирования сайта.

Если вы не хотите, чтобы ваши данные обрабатывались, покиньте сайт!

 
ГлавнаяКонтактыКарта сайтаВЕРСИЯ САЙТА ДЛЯ СЛАБОВИДЯЩИХEnglishChineseВКонтактеОдноклассникиTelegramMAX
 
             
   

Пластика преддверия полости рта

26 сентября 2011 - понедельник

Пластические операции в полости рта имеют различные показания: ортодонтические (нарушения прикуса), логопедические (нарушение произношения звуков) и даже связанные с нарушением акта сосания у детей грудного возраста. Однако чаще всего подобные операции проводятся специалистами в области пародонтологии для лечения и профилактики заболеваний пародонта (дёсен).

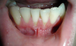
Пластика преддверия полости ртаПластика преддверия полости рта чаще всего рекомендована людям с мелким преддверием для профилактики рецессий десны (оголения корня зуба) и лечения пародонтита. Преддверие полости рта (передний отдел полости рта) – это пространство, ограниченное снаружи губами и щеками и альвеолярными отростками верхней и нижней челюсти изнутри. Примерно у 20 % людей преддверие полости рта мелкое, т. е. слишком высокое прикрепление тканей к альвеолярным отросткам. Это приводит к значительному натяжению десны в области передних зубов, что может быть причиной не только косметического дефекта, но и возникновения рецессии (смещения десны с оголением корней зубов), атрофии десны, других признаков заболеваний пародонта: воспаление десны и кровоточивость, неприятный запах изо рта и др.

Пластика преддверия полости рта проводится для устранения косметического дефекта, а также с целью лечения гингивита, пародонтита и пародонтоза, которые обусловлены мелким преддверием.

Пластика уздечек губ и языка

Помимо пластики преддверия полости рта в стоматологии часто проводятся операции по проведению пластики уздечек губ и языка.

Аномалии уздечек верхней или нижней губы и языка могут привести к возникновению диастемы (щель между верхними резцами), нарушений прикуса, локальной рецессии десны, возникновению локального пародонтита, нарушениям речи, а также к затруднению фиксации ортодонтических аппаратов. У детей грудного возраста аномалии уздечки языка могут привести к нарушению акта сосания.

 

Записаться на прием

 
Заявка на прием
Благодарности
Отзывы, жалобы и предложения
Как Вы о нас узнали?
Радио
Телевидение
Журналы / пресса
Знакомые / родственники
Интернет
Наружная реклама
Другое
 

Уже проголосовало человек: 10956