Продолжая использовать наш сайт, вы даете согласие на обработку следующих персональных данных:

URL страницы; реферер страницы; заголовок страницы; браузер и его версия; операционная система и ее версия; устройство; высота и ширина экрана; версия Flash; наличие Cookies; файлы Cookies; 
в целях: общения с субъектом c использованием телефонной связи и других видов связи; идентификации субъекта; идентификации устройства субъекта; обеспечения функционирования сайта.

Если вы не хотите, чтобы ваши данные обрабатывались, покиньте сайт!

 
ГлавнаяКонтактыКарта сайтаВЕРСИЯ САЙТА ДЛЯ СЛАБОВИДЯЩИХEnglishChineseВКонтактеОдноклассникиTelegramMAX
 
             
   

Бюгельное протезирование с замковой фиксацией

6 июля 2009 - понедельник

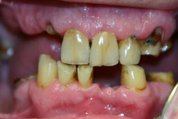
В СОСП обратился пациент 1958 г. рождения с жалобами на отсутствие зубов, плохое пережевывание пищи, неудовлетворительный внешний вид. Ранее пациент не протезировался.

До лечения

После сбора анамнеза, осмотра, основных и дополнительных методов обследования пациенту был поставлен диагноз и составлен комплексный план лечения, который включал в себя: профессиональную гигиену полости рта, хирургическое лечение, пародонтологическое лечение, эндодонтическое лечение, ортопедическое лечение.

После обсуждения вариантов протезирования (материалов и конструкций будущих протезов), пациент дал согласие на изготовление бюгельных протезов на верхнюю и нижнюю челюсть с замковыми креплениям (аттачменами).

Данный вид протезов имеет существенные преимущества перед обычными съемными протезами (на «крючках»): высокая функциональность; максимальная эстетичность, т. к. фиксирующие элементы расположены внутри протеза; комфорт при пользовании, т. к. протез не занимает много места в полости рта и устойчив при эксплуатации; быстрая адаптация к протезу.

После протезирования необходим контрольный осмотр через 6 месяцев; в дальнейшем посещения по рекомендации лечащего врача.

На фотографиях представлена ортопедическая реабилитация пациента со сложной исходной клинической ситуацией. Работа выполнена врачом стоматологом-ортопедом Маковичем О. А. и зубным техником Гидаевым Н. М.

Подготовка зубов к протезированию   Подготовка к протезированию

Внешний вид пациента после лечения

 

Записаться на прием

 
Заявка на прием
Благодарности
Отзывы, жалобы и предложения
Как Вы о нас узнали?
Радио
Телевидение
Журналы / пресса
Знакомые / родственники
Интернет
Наружная реклама
Другое
 

Уже проголосовало человек: 10956