Продолжая использовать наш сайт, вы даете согласие на обработку следующих персональных данных:

URL страницы; реферер страницы; заголовок страницы; браузер и его версия; операционная система и ее версия; устройство; высота и ширина экрана; версия Flash; наличие Cookies; файлы Cookies; 
в целях: общения с субъектом c использованием телефонной связи и других видов связи; идентификации субъекта; идентификации устройства субъекта; обеспечения функционирования сайта.

Если вы не хотите, чтобы ваши данные обрабатывались, покиньте сайт!

 
ГлавнаяКонтактыКарта сайтаВЕРСИЯ САЙТА ДЛЯ СЛАБОВИДЯЩИХEnglishChineseВКонтактеОдноклассникиTelegramMAX
 
             
   

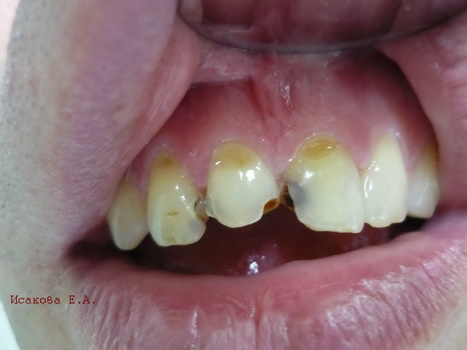
Опыт применения прямой композитной реставрации в терапевтической стоматологии

2 ноября 2011 - среда

Возможности современной стоматологии позволяют решать все более сложные медицинские задачи. Материалы и технологии позволяют качественно вылечить зубы и сделать красивые и надежные реставрации. Значительную часть работы стоматолога на терапевтическом приеме составляет работа по восстановлению зубов, их формы, цвета и функции в технике прямой композитной реставрации. Это самый консервативный метод, существующий в настоящее время в эстетической стоматологии. При реставрации композитами проводится щадящее препарирование, удаляются только нежизнеспособные ткани зуба и максимально сохраняются здоровые, а утраченные ткани восполняются композитными материалами, имитирующими дентин и эмаль. Такие свойства композитов, как цветовая гамма, прозрачность, устойчивость к истиранию и полируемость значительно расширили возможности восстановления зубов без протезирования.

В нашей клинике накоплен богатый практический опыт реставрационных работ, который позволяет выбрать оптимальный путь улучшения эстетики для каждого пациента. Комбинируя различные методы: прямые композитные реставрации, внутриканальное отбеливание, ортодонтическое лечение, керамические конструкции, все виды протезирования, включая протезирование на имплантах, пародонтологическую помощь можно значительно улучшить внешность человека в целом и здоровье полости рта в частности.

Прямая композитная реставрация (ПКР) имеет широкие возможности применения, а также определенные ограничения и даже противопоказания. Эта процедура проводится в одно посещение, непосредственно в полости рта и не требует лабораторных расходов, чем экономит время и средства пациента. Зачастую ПКР – это неотложная помощь в терапевтической стоматологии.

На сегодняшний день ПКР успешно применяется в нашей клинике в следующих случаях:

  1. Восстановление зубов при лечении кариеса и его осложнений
  2. При некариозных поражениях зубов,таких как эрозии эмали,клиновидный дефект,кислотный некроз ,врожденные гипоплазии, патологическая стираемость твердых тканей и др.
     
  3. При травматических повреждениях зубов в пределах дентина (без повреждения пульпы зуба)
     
  4. Для закрытия или уменьшения трем, диастем (промежутков между зубами)
    a) При отсутствии ортодонтического лечения или как дополнение к нему, если невозможно сдвинуть зубы вплотную, или если зубам необходима реставрация на финишном этапе этого лечения
     

    b) В пародонтологии перед шинированием подвижных зубов при их расхождении.

ПКР показана при сохранении собственных тканей зуба не менее, чем 50 % от объема коронки. Зуб должен выдерживать физиологические нагрузки, а реставрация опирается на собственные ткани зуба. При разрушении зуба более чем на 50 % показано армирование и протезирование вкладками или искусственными коронками. При реставрации фронтальной группы зубов к этому условию добавляется обязательное наличие боковой группы зубов для полноценной функции жевания. Резцы изначально не предназначены для пережевывания пищи, поэтому реставрированные резцы не выдерживают большой окклюзионной нагрузки.

На сегодняшний день противопоказаниями для проведения реставрации являются:

  1. Наличие у пациента кардиостимулятора, когда фотополимеризатор может нарушить частоту импульсов аппарата и возможна остановка сердца.
  2. Аллергическая реакция пациента на элементы адгезивной системы или самого композита, что встречается крайне редко.
  3. Бруксизм (скрежет зубами) – неконтролируемое приступообразное сокращение жевательных мышц и сжатие челюстей ночью, которое приводит к повреждениям эмали и сколам реставраций.
  4. Сочетание патологической стираемости зубов и прямого прикуса. В таких случаях реставрации следует проводить после поднятия прикуса врачом-ортопедом.
  5. Неудовлетворительные гигиенические навыки пациента. При нерегулярной чистке зубов отмечается краевая пигментация и быстрая потеря блеска поверхности реставрации. Пациентам, которые заведомо не будут уделять гигиене должного внимания, следует рекомендовать изготовление металлокерамики.

Правильно подобранный метод восстановления зубов поможет сохранить здоровье полости рта, функцию зубочелюстной системы, красивую улыбку.

Исакова Е.А., врач-стоматолог-терапевт

Записаться на прием

 
Заявка на прием
Благодарности
Отзывы, жалобы и предложения
Как Вы о нас узнали?
Радио
Телевидение
Журналы / пресса
Знакомые / родственники
Интернет
Наружная реклама
Другое
 

Уже проголосовало человек: 10956