Продолжая использовать наш сайт, вы даете согласие на обработку следующих персональных данных:

URL страницы; реферер страницы; заголовок страницы; браузер и его версия; операционная система и ее версия; устройство; высота и ширина экрана; версия Flash; наличие Cookies; файлы Cookies; 
в целях: общения с субъектом c использованием телефонной связи и других видов связи; идентификации субъекта; идентификации устройства субъекта; обеспечения функционирования сайта.

Если вы не хотите, чтобы ваши данные обрабатывались, покиньте сайт!

 
ГлавнаяКонтактыКарта сайтаВЕРСИЯ САЙТА ДЛЯ СЛАБОВИДЯЩИХEnglishChineseВКонтактеОдноклассникиTelegramMAX
 
             
   

Клинический случай экструзионного вывиха верхних резцов у пациента с мезиальной окклюзией

31 мая 2010 - понедельник / комментариев:

Деньгина А.Ю.
врач-ортодонт детского отделения ГУП СО Свердловская областная стоматологическая поликлиника,
г. Екатеринбург
Мосейчук О.А.
к.м.н., зав.детским отделением ГУП СО Свердловская областная стоматологическая поликлиника,
г. Екатеринбург


Резюме

Частота обращений за стоматологической помощью вследствие травмы зубов не так велика, как по поводу кариозных поражений. Но, тем не менее, в этих случаях очень важен комплексный и квалифицированный подход к решению проблемы. Повреждения, обусловленные механической травмой, встречаются в полости рта чаще всего в области фронтальных зубов, по разным данным около 80% [1]. Своевременная стоматологическая помощь и длительный контроль в посттравматическом периоде позволяют значительно снизить риск таких посттравматических осложнений, как некроз пульпы, резорбция корня, анкилоз зуба. Психология детей и подростков устроена таким образом, что на детский стоматологический прием пациенты с травматическими повреждениями зубов обращаются чаще, чем на взрослый прием [3,4].

Ключевые слова: травма, экструзионный вывих, мезиальная окклюзия.

CLINICAL CASE OF DISLOCATION OF THE EXTRUSION OF UPPER INCISORS IN A COMBINATION WITH MESIAL OCCLUSION. Dengina A.Y., Moseychuk O.A.

Summary

Frequency of references behind the stomatologic help owing to a trauma of a teeth not so is great, as in occasion of caries defects. But, nevertheless, in these cases the complex and qualified approach to the decision of a problem is very important. The damages caused by a mechanical trauma, meet in an oral cavity more often in the field of a incisors, on different data about 80 %. The duly stomatologic help and the long control over the posttraumatic period, allow to lower considerably risk of such posttraumatic complications, as некроз pulps, resorbtion root, анкилоз a tooth. The psychology of children and teenagers is arranged in such a manner that on children's stomatologic reception patients with traumatic damages of a teeth address more often, than on adult reception.

Keywords: a trauma, extrysion a dislocation, mesial occlusion.

В клинику обратился пациент 12 лет, с жалобой на травму верхних резцов в результате удара во время автомобильной аварии. Со слов мамы, появилось обратное резцовое перекрытие, ранее зубы занимали правильное положение. Невозможность полного смыкания зубов. С момента травмы прошло около 30 часов.

Внешний осмотр: лицо симметричное, профиль прямой. Отек верхней губы (Рис. 1).

Рис. 1

 

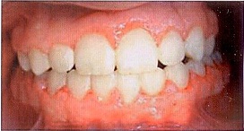
Осмотр полости рта (Рис. 2):

Рис. 2

 

St. localis: гематома слизистой верхней губы, отек и гиперемия слизистой в области верхних резцов, гематома в области зубов 2.2, 2.3, обратное резцовое перекрытие в области 1.1, 2.1, 2.2. Экструзия зубов 1.1, 2.1 и 2.2, подвижность зубов 1.1, 2.1 и 2.2 II степени (Рис. 3).

   
   

Рис. 3

Окклюзия: смыкание в области первых моляров и клыков по III классу. Сужение и укорочение верхнего зубного ряда, по трансверзали бугровые контакты. Обратное
резцовое перекрытие около 3 мм. Вестибулярное положение зуба 2.3.

Rg исследование: расширение периодонтальной щели в области верхушек корней зубов 1.1, 2.1, 2.2, переломов корней не выявлено. Переломов альвеолярных отростков челюстей, ветвей и суставных отростков нижней челюсти также не выявлено.

Цефалометрическое обследование:
SNA 83 (82±2) NSL/ML 26 (32±5) gl-sn-pg 13 (12±2)
SNB 86 (80±2) NSL/NL 2 (7±2) cm-sn-ls 129 (112±2)
ANВ -3 (2±2) NL/ML 24 (25±3) экспозиция резцов 0
А-Со 86 ILS/NL 118 (115±5) Бетта-угол 40 (27-35)
Gn-Co 115 (107-110) ILi/ML 85 (95±5)
Sp-Me64 ILS/ILi 131 (125±5)

Диагноз: Экструзионный вывих зубов 1.1, 2.1, 2.2, гематома верхней губы и слизистой альвеолярного отростка верхней челюсти.

Дентальный диагноз: Мезиальная окклюзия, сужение и укорочение верхнего зубного ряда, обратное резцовое перекрытие в области 1.1,2.1,2.2, вестибулярное положение зуба 2.3.

Скелетный диагноз: Скелетный класс III, нижняя макрогнатия, нормодивергенция, протрузия верхних резцов, профиль прямой, назолабиальный угол увеличен.

План лечения: поскольку с момента травмы прошло более 24 часов, одномоментная репозиция вывихнутых зубов невозможна. Шинирование также затруднено обратным резцовым перекрытием и болезненностью при смыкании фронтальных зубов. В качестве шинирующего и репонирующего устройства используется несъёмная ортодонтическая техника [1,4].

  • выведение зубов 1.1, 2.1, 2.2 из прикуса,
  • репозиция зубов 1.1,2.1, 2.2,
  • интрузия зубов 1.1,2.1, 2.2,
  • выведение 1.1,2.1,2.2 в правильное резцовое перекрытие,
  • коррекция вертикального резцового перекрытия,
  • коррекция окклюзии сагиттали,
  • установка плотных окклюзионных контактов,
  • ретенция.

Аппарат

Несъёмная ортодонтическая техника, техника прямой дуги. Ретейнер несъемный: flex-проволока 0,0175», съемный: аппарат Hawley.

Лечение

Антисептическая обработка раны раствором хлоргексидина 0,006%.

Фиксация окклюзионных накладок из Filtek на зубы 3.7 и 4.7, для разобщения прикуса, с целью снять нагрузку с фронтальных зубов. На зубы 1.5 - 2.5 фиксация брекетов Mini Sprint (Forestadent), на 1.6 и 2.6 - щечные трубочки. Наложение дуги NiTi SE 0,014», лигирование дуги. В домашних условиях назначены антисептические полоскания и обработка слизистой раствором «Аекол».

Через месяц при осмотре сохраняется подвижность верхних резцов I степени, положение их нормализуется, на прицельной Rg линии перелома корней не появилось, резорбции корней нет, сохраняется небольшое расширение периодонтальной щели в области верхушек.

Через три месяца появился прямой контакт в области резцов, подвижность зубов 1.1, 2.1 и 2.2 в пределах нормы. На верхний зубной ряд наложили кантовую NiTi SE 0,016 X 0,022» дугу, сняли окклюзионные накладки. Окклюзионные контакты неплотные. По сагиттали III класс. На повторном ОПТГ и прицельной Rg изменений в области корней верхних резцов не выявлено.

Через 5 месяцев от начала лечения выравнивание верхнего зубного ряда полностью закончено. Зубы 1.1, 2.1, 2.2 заняли правильное положение, получено минимальное резцовое перекрытие около 1—1,5 мм, нормализовалось положение зуба 2.3. Родителям пациента предложено продолжить ортодонтическое лечение на полной несъемной технике для коррекции мезиоокклюзии и нормализации окклюзионных контактов. Согласие родителей получено.

Фиксация брекетов на нижний зубной ряд: 3.5 - 4.5 брекеты Mini Sprint (Forestadent). на 3.6 и 4.6 - щечные трубочки. Выравнивание нижнего зубного ряда заняло еще 2 месяца.

Для коррекции окклюзии по сагиттали пациенту была назначена межчелюстная тяга III класса (Лиса, Ormco). Режим использования около 18-20 часов в сутки. А также для увеличения величины резцового перекрытия была назначена коробочная тяга во фронтальном отделе (Лиса, Ormco).

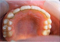
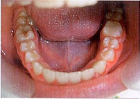
В течение 5-ти месяцев использования межчелюстной тяги динамика коррекции окклюзии по сагиттали слабоположительная. Кооперация с пациентом и его родителями ухудшилась, у мальчика значительно ухудшилась гигиена, межчелюстную тягу носил недостаточно, поэтому этап коррекции по сагиттали и вертикали оказался затруднен. Родители стали настаивать на снятии аппарата, т.к. положение передних зубов их устраивало, а смыкание в боковых отделах их не интересовало (рис. 4-6).

   

Рис. 4

Рис. 5

 

Рис. 6

 

Заключение

В результате 12-месячного ортодонтического лечения нам удалось успешно провести лечение экструзиоинного вывиха верхних резцов. Верхние резцы заняли правильное положение относительно нижних, их перекрытие составило примерно 2,5-3 мм. Но сагиттальные взаимоотношения по-прежнему соответствуют III классу Энгля и сохранились бугровые окклюзионные взаимоотношения. На ОПТГ и прицельной рентгенограмме зубов 1.1.,2.1 и 2.2 периодонтальная щель сохранена на всей протяженности корней. Наблюдается небольшая апекальная резорбция верхушек корней 1.1,2.1 и 2.2 зубов.

В качестве ретенции зафиксированы несъемные flex-ретейнеры на зубы 1.3 - 2.3 и 3.3 - 4.3 на неограниченный срок [2]. На нижний зубной ряд изготовлен съемный ретейнер Hawley, назначено ношение в течение 14-16 часов в сутки. Осмотр через 6 месяцев, затем 1 раз в год до окончания скелетного роста.

ЛИТЕРАТУРА

  1. Paul W. Stoeckli & Elisha Ben Zur «Zahnmedizin bei Kindern und Jugendlichen» («Стоматология для детей и подростков»).
  2. William R. Proffit «Temporary Orthodontics». Перевод с английского под редакцией члена-корреспондента РАМН, профессора Л.С.Персина.
  3. Ральф Е. Мак-Дональд, Дейвид Р. Эйвери. «Стоматология детей и подростков».
  4. Справочник по детской стоматологии. Перевод с английскою под редакцией Т.Ф. Виноградовой, Н.В. Гинали, О.З. Топольницкого.

 

Комментарии

17.09.12   Виктория

Сколько стоила такая процедура?

21.09.12   

Уважаемая Виктория! Данная процедура в 2008 году стоила около 30000 рублей. Для консультации Вам необходимо обратиться в ортодонтическое отделение поликлиники. Запись на прием детей к врачу-ортодонту осуществляется по адресу: ул. 8 Марта, 123; телефон регистратуры: (343) 257-00-95
С уважением, заведующая организационно-методическим кабинетом Халилаева Е.В.

Оставьте комментарий

Ваше Имя: 
Текст комментария: 
Код подтверждения: 
Согласие на обработку персональных данных: 
     


 
Заявка на прием
Благодарности
Отзывы, жалобы и предложения
Как Вы о нас узнали?
Радио
Телевидение
Журналы / пресса
Знакомые / родственники
Интернет
Наружная реклама
Другое
 

Уже проголосовало человек: 10956